
Schistosomiasis of Urinary Bladder : Ultrasound Case Study
A 29-year-old female was presented with increased frequency of urination and tiny particles passing through urine.

A 29-year-old female was presented with increased frequency of urination and tiny particles passing through urine.

A 28-year-old pregnant woman’s third-trimester ultrasound revealed findings suggestive of bronchial atresia. This case report details the ultrasound presentation, differential diagnosis, and postnatal characteristics of this rare congenital condition.

A 27-year-old female complained of neck swelling. Ultrasound and FNAC suggested follicular neoplasm. This case report discusses ultrasound features of thyroid malignancy and the importance of histopathology for diagnosis.

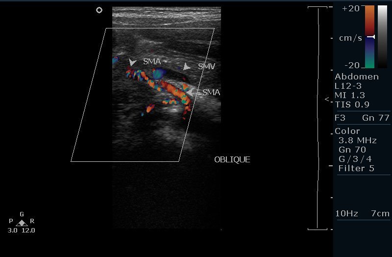
A 3-year-old boy with recurrent abdominal pain and vomiting was diagnosed with midgut volvulus, a complication of malrotation, using ultrasound. The “whirlpool sign,” indicative of twisted intestines, was observed. This case highlights the importance of ultrasound in diagnosing this condition, especially in children with atypical presentations. Learn more about the clinical presentation, ultrasound findings, and surgical management of midgut volvulus.